Deja, šaltuoju metų laiku išvengti peršalimo ar kitų kvėpavimo takų susirgimų dažnai nepavyksta. Tiesa, paprastai tokios ligos žymesnių sveikatos problemų nesukelia ir pasirūpinus tinkamu jų gydymu greitai praeina. Tačiau, kai paprastas peršalimas komplikuojasi ir perauga į plaučių uždegimą, ypač vaikams, situacija gali tapti rimta ir reikalauti skubios medicininės pagalbos. Plaučių uždegimas, dar kitaip vadinamas pneumonija, yra ūmus plaučių infekcinis susirgimas, kuris pažeidžia plaučių audinį ir apsunkina kvėpavimą. Nors sukėlėjai gali būti įvairūs, o ligos eiga varijuoti nuo lengvos iki gyvybei pavojingos, laiku nustatyta diagnozė ir tinkamas gydymas yra esminiai siekiant užkirsti kelią rimtoms komplikacijoms.

Kas Yra Plaučių Uždegimas ir Kaip Jis Atsiranda?
Plaučių uždegimas - tai infekcija, pažeidžianti plaučių audinį ir apsunkinanti kvėpavimą, dar kitaip vadinama pneumonija. Dažniausiai plaučių uždegimas yra išskiriamas į kelias formas: tradicinis plaučių uždegimas su visais būdingais simptomais (kosuliu, karščiavimu, dusuliu bei kitais) bei atipinis, kai požymiai būna ne tokie aiškūs - pavyzdžiui, be kosulio ar be temperatūros.
Plaučių uždegimą gali sukelti skirtingi sukėlėjai - bakterijos arba virusai, nuo kurių priklauso ligos vystymasis ir gydymas. Tačiau plitimo kelias yra toks pat. Abejais atvejais infekcija perduodama oro lašeliniu būdu - kai sergantis žmogus kosėja, čiaudi ar kalba, į aplinką pasklinda smulkūs seilių bei gleivių lašeliai su ligos sukėlėjais. Juos įkvėpus, mikroorganizmai patenka į kvėpavimo takus ir pasiekia plaučius.
Kai ligą sukėlę virusai pažeidžia kvėpavimo takų epitelį, padidėja sekreto gamyba nosiaryklėje, o jame padaugėja potencialių plaučių uždegimo sukėlėjų. Su nosiaryklės sekretu bakterijos patenka į trachėją bei bronchus ir juose dauginasi, o vėliau išplinta į plaučius ir alveoles. Uždegimo apimtose plaučių dalyse nevyksta ventiliacija - deguonis nepernešamas iš plaučių į kraujotaką, todėl jo gali pradėti trūkti organizme. Pirmieji peršalimo simptomai įprastai pasireiškia praėjus 1-3 dienoms po užsikrėtimo ir gali trukti iki 7-14 dienų.
Plaučių Uždegimo Tipai ir Jų Ypatumai
Nors bendras principas išlieka panašus, plaučių uždegimas gali pasireikšti skirtingomis formomis, kurios skiriasi sukėlėjais, simptomais ir gydymo strategijomis:
- Virusinis plaučių uždegimas: Dažniausiai vystosi po virusinių viršutinių kvėpavimo takų infekcijų. Iš pradžių jis primena paprastą peršalimą - atsiranda kosulys, sloga, gerklės skausmas, nuovargis. Temperatūra gali pakilti, tačiau dažniausiai ne itin aukštai (iki 38 °C). Dažniausi sukėlėjai yra gripo virusai, kvėpavimo takų sincitinis virusas (RSV), adenovirusai, taip pat koronavirusai, tarp jų ir COVID-19. Virusinis uždegimas dažniau nustatomas vaikams, paaugliams ar silpnesnę imuninę sistemą turintiems pacientams.
- Bakterinis plaučių uždegimas: Paprastai yra sunkesnė ligos forma. Jam būdinga staigi pradžia, aukštas karščiavimas (38-40 °C), šaltkrėtis, skausmas krūtinėje, pūlingi skrepliai ir ryškus bendros savijautos pablogėjimas. Dažniausias bakterinio plaučių uždegimo sukėlėjas - Streptococcus pneumoniae (pneumokokas), tačiau infekciją taip pat gali sukelti ir Mycoplasma pneumoniae bakterija, sukelianti mikoplazminę pneumoniją, Haemophilus influenzae, Staphylococcus aureus, Chlamydia pneumoniae, Streptococcus pyogenes (Streptokokas A).
- Plaučių uždegimas be temperatūros (šaltas plaučių uždegimas): Tokios plaučių uždegimo formos metu pacientas visiškai ne karščiuoja - temperatūra išlieka pastovi. Suaugusieji ar vaikai gali atrodyti beveik sveiki, tačiau juos vargina nuolatinis kosulys, dusulys, nuovargis, prakaitavimas naktimis, gali būti krūtinės spaudimo pojūtis.
- Besimptomis plaučių uždegimas (atipinis plaučių uždegimas): Tai būklė, kai ligonis neturi ne tik aukštos temperatūros, bet ir kitų įprastų požymių, kuriuos dažniausiai siejame su pneumonija (plaučių uždegimu). Vietoje to pasireiškia tik bendresni negalavimai: nuolatinis silpnumas, energijos stoka, miego sutrikimai, naktinis prakaitavimas, sumažėjęs apetitas ar dusulys net atliekant kasdienius darbus. Toks netipiškas pasireiškimas ypač dažnas kūdikiams, vyresnio amžiaus žmonėms ar pacientams, kurių imunitetas nusilpęs. Besimptomis plaučių uždegimas neretai nustatomas pavėluotai arba atsitiktinai, kadangi liga progresuoja tyliai ir dėl tokių „užmaskuotų“ simptomų pacientai laiku nesikreipia į gydytoją. Būtent vėlyva diagnozė kelia didžiausią pavojų, nes laiku nepradėjus gydymo ši ligos forma gali komplikuotis į kvėpavimo nepakankamumą, pleuritą (plaučių gleivinės uždegimą) ar infekcijos išplitimą organizme.
- Lėtinis (užsitęsęs) plaučių uždegimas: Tai būklė, kai plaučių uždegimas (pneumonija) užsitęsia ilgiau nei įprasta arba pasikartoja kelis kartus per metus. Skirtingai nuo ūminės pneumonijos, kuri paprastai trunka kelias savaites, lėtinis uždegimas gali tęstis mėnesius ar net metus. Taip pat lėtinis plaučių uždegimas dažnai vystosi lėčiau, o simptomai dažniausiai būna ne tokie ryškūs: subfebrili temperatūra (apie 37-37,5 °C), energijos stoka, nuolatinis kosulys, dusulys, krūtinės skausmas.
Kaip atskirti peršalimą, gripą ir krūtinės ląstos infekciją
Plaučių Uždegimas Vaikams ir Kūdikiams: Kodėl Tai Ypač Pavojinga?
Plaučių uždegimas vaikams ir kūdikiams yra viena labiausiai paplitusių kvėpavimo sistemos ligų, kuri gali sukelti mirtį. Dėl dar nesubrendusių imuniteto mechanizmų infekcija vaikams gali plisti sparčiau, o simptomai dažniausiai būna stipresni ir šiek tiek skiriasi nuo suaugusiųjų simptomų: padažnėjęs kvėpavimas, aukšta temperatūra, vangumas, sumažėjęs apetitas, kosulys, o kartais ir pilvo skausmai, pykinimas.
Negydomas arba netinkamai gydomas plaučių uždegimas vaikams sukelia ir didesnę sunkesnių komplikacijų riziką, dėl ko padidėja mirties rizika, todėl itin svarbu neatidėti vizito pas gydytoją. Užsitęsęs kosulys, dusulys ar vangumas vaikui - rimtas signalas, kad būtina profesionali pagalba.
Vaikams, ypač iki 3 metų amžiaus, bei vyresniems nei 65 metų asmenims, plaučių uždegimo rizika yra didesnė. Iki 3 metų 85 proc. visų šio amžiaus vaikų ligų yra kvėpavimo organų ligos. Tai lemia amžiaus ypatumai - vaikų kvėpavimo takai yra siauresni nei suaugusiųjų. Sirgdamas vaikas paprastai kosi, karščiuoja, sunkiau kvėpuoja. Uždegimo sukėlėjas priklauso nuo vaiko amžiaus. Kūdikiams ir vaikams iki 5 metų pneumoniją dažniausiai sukelia virusai, vyresniems nei 5 metų - bakterijos. Vyresnių žmonių organizmas silpniau kovoja su ligos sukėlėjais, todėl jie serga dažniau nei jaunesni suaugusieji.
Kai kurie požymiai, dažnai klaidingai supainiojami su peršalimu, yra pirmasis signalas, kad organizme gali vystytis plaučių uždegimas, todėl ignoruoti jų nereikėtų - laiku suteiktas tinkamas gydymas ir priežasties nustatymas yra esminiai sveikimo žingsniai. Plaučių uždegimas taip pat gali būti lydimas kitų kvėpavimo takų ligų, su papildomais simptomais, pavyzdžiui, anginos. Retais atvejais gali pasireikšti pilvo skausmai, pykinimas (dažniausiai šie simptomai pasireiškia vaikams).
Plaučių Uždegimo Diagnostika: Kaip Atpažinti Klastingą Lygą?
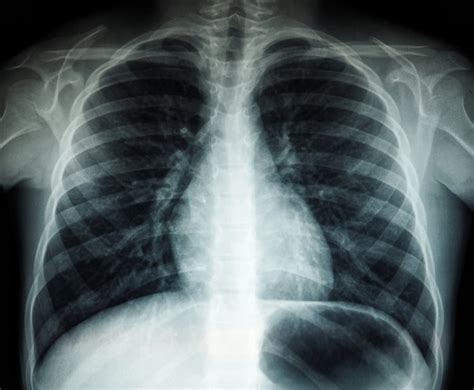
Plaučių uždegimo diagnozė nustatoma įvertinus paciento nusiskundimus, klinikinius simptomus ir atlikus papildomus tyrimus. Pirmiausia gydytojas klausinėja apie ligos eigą, matuoja temperatūrą, įvertina kvėpavimo dažnį, plaučių garsus klausant stetoskopu. Klausant (auskultuojant) plaučius tam tikroje jų dalyje, kur prasidėjo galimas plaučių uždegimas, aptinkami karkalai. Diagnozę galima patvirtinti krūtinės ląstos rentgenograma - tada matomi visi uždegiminiai pakitimai plaučiuose. Jei jų nėra, gali būti, kad pacientas serga bronchitu, kurį taip pat gali sukelti tie patys patogenai.

Kai kuriais atvejais gali būti skiriami ir papildomi tyrimai - kompiuterinė tomografija, pleuros ertmės skysčio tyrimai, jei įtariamos komplikacijos arba prieš tai išvardinti diagnostikos metodai nesuteikia tikslios informacijos.
Kraujo tyrimas yra svarbus įvertinant uždegimo laipsnį ir nustatant infekcijos pobūdį. Būdinga leukocitozė (padidėjęs baltųjų kraujo kūnelių kiekis), leukocitų formulės poslinkis į kairę, toksinių granuliocitų aptikimas, padidėjęs eritrocitų nusėdimo greitis (ENG) bei C-reaktyvinio baltymo (CRB) koncentracija kraujo serume. Sunkaus plaučių uždegimo atveju, tiriama arterinio kraujo sudėtis, nustatoma hipoksija (deguonies trūkumas kraujyje). Jei pneumonija sunki arba yra bakteremijos požymių (šaltkrėtis, sutrikusi mikrocirkuliacija), atliekamas kraujo pasėlis.
Skreplių tyrimas taip pat gali suteikti vertingos informacijos. Skiltinės pneumonijos atveju skrepliai būna tąsūs, pūlingi, rūdžių spalvos, mikroskopuojant matoma daug leukocitų, pavienių eritrocitų, alveolinių makrofagų, bronchų epitelio. Esant kitoms formoms, skrepliai gali būti gleivingi pūlingi arba pūlingi, gausūs.
Plaučių Uždegimo Gydymas: Nuo Antibiotikų Iki Simptominės Terapijos
Plaučių uždegimo gydymo intensyvumas priklauso nuo paciento būklės. Ją įvertinus skiriami antibiotikai, atsikosėti padedantys vaistai, o kai yra bronchų spazmo (susiaurėjimo) požymių, juos atpalaiduojantys medikamentai. Jei nustatomas bakterinis plaučių uždegimas, dažniausiai taikomas gydymas antibiotikais. Jie padeda sunaikinti infekciją ir sumažinti komplikacijų riziką. Svarbu, kad vaistus parinktų gydytojas, nes tik jis gali nustatyti tinkamą gydymo kursą bei trukmę. Įprastai bakteriniam plaučių uždegimui gydyti skiriama per burną vartojamų antibiotikų. Gydant ligoninėje, antibiotikai ir skysčiai lašinami tiesiai į veną. Jei vaikas serga bakterijų sukelta pneumonija, duokite tiksliai tiek vaistų, kiek nurodė gydytojas.
Tuo tarpu virusinio plaučių uždegimo atveju antibiotikai neveiksmingi - gydymas orientuotas į simptomų palengvinimą: pakankamą skysčių vartojimą, poilsį, karščiavimą mažinančias ar kitas palengvinančias simptomus priemones. Karščiavimui mažinti naudojami paracetamolis ar ibuprofenas, kurie taip pat padeda sumažinti skausmus. Prieš duodami vaikui vaistų nuo kosulio, pasitarkite su gydytoju. Kosulys yra vienas iš būdų, kaip jūsų kūnas atsikrato infekcijos. Jei kosulys labai vargina, gali būti skiriami atsikosėjimą lengvinantys vaistai, kurie padeda suskystinti skreplius ir palengvina jų pašalinimą iš kvėpavimo takų.
Sunkesniais atvejais, kai paciento būklė sparčiai blogėja ar iškyla komplikacijų rizika, gali būti reikalingas gydymas ligoninėje. Gydymo trukmė priklauso nuo ligos sunkumo - paprastai užtrunka 2-3 savaites, tačiau silpnesnį imunitetą turintiems žmonėms ar vyresnio amžiaus pacientams gydymas gali užtrukti ilgiau. Lėtinio plaučių uždegimo atvejais gydymas tampa dar ilgesnis ir sudėtingesnis - jis gali tęstis kelis mėnesius ar net ilgiau, nes ši forma dažnai kartojasi ir reikalauja nuolatinės stebėsenos.
Jau pasveikus po plaučių uždegimo gali būti taikoma hiperbarinė deguonies terapija, siekiant pagreitinti organizmo atsistatymą ir sustiprinti bendrą savijautą. Galutinį sprendimą dėl HBOT taikymo priima gydytojas, įvertinęs paciento būklę ir sveikimo eigą.
Plaučių Uždegimo Komplikacijos: Pavojai, Kurių Svarbu Išvengti
Plaučių uždegimas gali būti itin pavojinga liga, ypač jei diagnozė nustatoma per vėlai arba taikomas gydymas yra netinkamas. Negydomas plaučių uždegimas dažnai sukelia kvėpavimo funkcijos nepakankamumą, kuris gali būti lengvas arba progresuojantis. Esant lengvai formai, užtenka gydymo vidaus ligų skyriuje, tačiau kai šis reiškinys progresuoja ir didėja deguonies poreikis bei blogėja kvėpavimo efektyvumas - ligoniui būtina intensyvi priežiūra reanimacijos ir intensyvios terapijos skyriuose.
Kartais dėl plaučių uždegimo juose susikaupia pūlių ir formuojasi vadinamasis plaučių abscesas. Galimas ir sisteminis plaučių uždegimo išplitimas, kai bakterijų randama ir kraujyje - tuomet žmogui išsivysto sepsis, galintis baigtis mirtimi. Tai organizmo reakcija į infekciją kraujyje, kai kraujospūdis staiga sumažėja iki kritinio lygio. Sepsis - kai infekcija patenka į kraują ir išplinta po visą organizmą, tai gali tapti gyvybei pavojinga bukle.
Kita rimta komplikacija - plaučių abscesas, kai infekcijos paveiktoje plaučių dalyje susidaro pūlių sankaupa. Ši būklė dažniausiai pasireiškia pacientams su nusilpusia imunine sistema arba sergantiems lėtinėmis ligomis. Absceso gydymas reikalauja ilgalaikės antibiotikų terapijos, o kai kuriais atvejais gali būti atliekama chirurginė intervencija.
Komplikacijų rizika didesnė vaikams iki 5 metų, vyresnio amžiaus žmonėms, nusilpusią imuninę sistemą turintiems asmenims bei tiems, kurie serga lėtinėmis ligomis (pvz.: astma, širdies ar inkstų nepakankamumu). Būtent dėl šių komplikacijų laiku kreiptis į gydytoją, pastebėjus bent vieną iš plaučių uždegimo simptomų, ir pradėti tinkamą gydymą yra gyvybiškai svarbu.

Prevencija: Kaip Apsaugoti Vaikus Nuo Plaučių Uždegimo?
Viena efektyviausia apsisaugojimo priemonė nuo pneumokokinės infekcijos - skiepai. Jie yra įtraukti į Nacionalinės imunoprofilaktikos programą, todėl nemokamai skiriami kūdikiams. Be to, pneumokokine vakcina skiepijami asmenys, įrašyti į rizikos grupių sąrašą, pavyzdžiui, pacientai, kuriems atliekama dializė, sergantieji onkologinėmis, reumatinėmis ir kitomis ligomis. Nuo 2023 m. taip pat rekomenduojama pasiskiepyti nuo gripo ir COVID-19.
Laikykitės geros higienos normų. Norėdami apsisaugoti nuo kvėpavimo takų infekcijų, kurios kartais sukelia plaučių uždegimą, reguliariai nusiplaukite rankas arba naudokite alkoholio pagrindu pagamintą rankų dezinfekatorių.
Nerūkykite. Rūkymas kenkia natūraliai jūsų plaučių apsaugai nuo kvėpavimo takų infekcijų.
Tausokite savo imuninę sistemą. Pasistenkite išsimiegoti, reguliariai sportuokite ir sveikai maitinkitės.
Peršalus palengvinti ligos eigą ir išvengti komplikacijų, padeda tam tikros taisyklės. Pirmiausia, svarbu gerti daug šiltų skysčių, vėdinti patalpas bei naudoti namų drėkintuvą, kad palengvėtų kvėpavimas. Verta nepamiršti ir imunitetą stiprinančių preparatų, vitaminų, tokių kaip vitaminai C ir D bei cinkas. Svarbu prisiminti, kad sveikstant derėtų kiek įmanoma apriboti kontaktą su šeimos nariais ir draugais, jog mikrobai neplistų kitiems žmonėms.
Atsigavimas Po Plaučių Uždegimo
Gali prireikti laiko atsigauti po plaučių uždegimo. Kai kurie žmonės jaučiasi geriau ir per savaitę gali grįžti prie įprastos tvarkos. Kitiems žmonėms tai gali užtrukti mėnesį ar daugiau. Dauguma žmonių jaučiasi pavargę maždaug mėnesį. Tinkamas poilsis yra svarbus norint išlaikyti pažangą link visiško pasveikimo ir išvengti atkryčio. Neskubėkite pasveikti! Pasitarkite su gydytoju, kada galite grįžti į įprastą rutiną.
Kol sveikstate, pabandykite apriboti savo ryšius su šeima ir draugais, kad jūsų mikrobai neplistų kitiems žmonėms. Kai kosėjate, uždenkite burną ir nosį, nedelsdami išmeskite panaudotas vienkartines nosinaites į uždarą atliekų konteinerį ir dažnai plaukite rankas.
Pabaigus antibiotikų kursą gydytojas norės įsitikinti, ar jūsų krūtinės ląstos rentgenograma yra normali. Aš jau persirgau plaučių uždegimą - kodėl vėl reikia pas gydytoją? Nors jaučiate, kad savijauta gerėja, tačiau gydymo, nepasitarus su gydytoju, nutraukti nevalia. Neišgydytas plaučių uždegimas - rizika susirgti lėtine plaučių liga. Pas gydytoją būtina atvykti, jei jis patarė tai padaryti arba jei pagerėjus būklei po kiek laiko vėl atsirado kosulys, dusulys ar silpnumo jutimas.
Plaučių uždegimas - viena dažniausių ir kartu klastingiausių kvėpavimo sistemos ligų. Ji gali prasidėti lyg paprastas peršalimas, tačiau greitai komplikuotis ir sukelti rimtų pasekmių - nuo kvėpavimo nepakankamumo iki sepsio. Ši liga pavojinga tuo, kad jos eiga ne visada vienoda: kartais staigiai pakilusią aukštą temperatūrą gali lydėti kiti ryškūs simptomai, tokie kaip kosulys, dusulys, bendras silpnumas. Kitais atvejais uždegimas vystosi itin „tyliai“, be akivaizdžių simptomų, dėl ko dažnai būna nustatytas ne laiku.