Epidurinis hematoma, dar žinomas kaip ekstradūrinis hematoma, epidurinis kraujosruvis ar epidurinė hemoragija, yra rimta medicininė būklė, apibūdinama kraujo kaupimosi tarp smegenų dangalų (kietosios smegenų dangalos) ir kaukolės. Ši būklė dažnai atsiranda dėl trauminio galvos sužalojimo ir gali sukelti reikšmingą neurologinį sutrikimą ar net mirtį, jei nebus laiku diagnozuota ir gydoma.

Kas yra epidurinis hematoma?
Epidurinis hematoma yra kraujo kolekcija, susidariusi epidūriniame tarpe, kuris yra tarp kietosios smegenų dangalos ir kaukolės. Šioje erdvėje paprastai yra nedidelis kiekis skysčio, tačiau kai plyšta kraujagyslė - dažnai dėl traumos - kraujas gali greitai kauptis, sukeldamas padidėjusį spaudimą smegenims.
Kitaip nei subdūriniai hematomos, kurie plečiasi palei kaukolės vidų, epiduriniai hematomos paprastai yra išgaubtos formos. Tai lemia tai, kad jų plėtimasis sustoja ties kaukolės siūlėmis, kur kietoji smegenų danga yra tvirtai pritvirtinta prie kaukolės. Dėl to jos plečiasi į vidų link smegenų, o ne palei kaukolės vidų. Epiduriniai hematomos gali pasireikšti kartu su subdūriniais hematomomis, arba gali pasireikšti atskirai.
Priežastys ir rizikos veiksniai
Dažniausia intrakranijinio epidurinio hematomos priežastis yra galvos smegenų trauma, nors žinoma ir spontaninių kraujosruvių atsiradimo atvejų. Epidurinis hematoma dažniausiai atsiranda dėl smūgio į galvos šoną (smilkinkaulio kaulą). Pteriono sritis, kuri dengia vidurinę smegenų arteriją, yra santykinai silpna ir linkusi į sužalojimus.
Tik 20-30% epidurinių hematomų atsiranda ne smilkinkaulio srityje. Smegenys gali būti sužeistos dėl kaukolės vidinių iškilimų, kai jos braižosi pro juos. Smilkinkaulio kaulo lūžis sukelia kraujavimą iš vidurinės smegenų arterijos, todėl epidurinis kraujavimas dažnai būna greitas, nes arterijos veikia aukštu slėgiu.
Nors epiduriniai hematomos dažniausiai siejami su traumomis, tam tikri infekciniai agentai ar aplinkos veiksniai gali prisidėti prie kraujavimo rizikos. Nėra specifinių genetinių ar autoimuninių sutrikimų, tiesiogiai susijusių su epidurinių hematomų vystymusi. Gyvenimo būdo pasirinkimai, tokie kaip per didelis alkoholio vartojimas ar antikoaguliantinių vaistų vartojimas, gali padidinti kraujavimo riziką.
Simptomai
Epidurinio hematomos simptomai gali skirtis priklausomai nuo hematomos dydžio ir jo vystymosi greičio. Kai kurie dažniausiai pasitaikantys simptomai apima:
- Skausmas: Stiprus, intensyvus galvos skausmas, kuris dažnai pablogėja.
- Sąmonės sutrikimas: Gali pasireikšti mieguistumas, sumišimas, o vėliau - staigus sąmonės praradimas. Būdingas požymis yra "šviesus intervalas" (lucid interval), kai asmuo trumpam atgauna sąmonę ir atrodo normaliai, o vėliau staiga ir greitai praranda sąmonę.
- Neurologiniai deficito požymiai:
- Galūnių silpnumas priešingoje hematomos pusėje dėl suspaudimo.
- Regėjimo sutrikimai, taip pat priešingoje pusėje, dėl pakaušinės smegenų arterijos suspaudimo.
- Pupilių pakitimai, pvz., vienos pupilės išsiplėtimas.
- Pykinimas ir vėmimas.
Jei epidurinis hematoma negydomas laiku, jis gali sukelti tonzilių išvaržą, dėl kurios sutrinka kvėpavimas.

Diagnostika
Epidurinio hematomos diagnostika prasideda nuo kruopštaus klinikinio vertinimo.
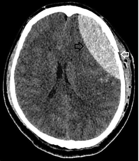
- Vaizdinis tyrimas: Pagrindinis diagnostikos įrankis yra galvos kompiuterinė tomografija (KT), kuri greitai gali atskleisti hematomos buvimą. KT tyrimas parodo kraujo kolekciją, paprastai išgaubtos formos, tarp kaukolės ir kietosios smegenų dangalos.
- Neurologinis ištyrimas: Gydytojas atlieka neurologinius tyrimus, siekdamas įvertinti smegenų funkciją, reakciją į šviesą ir judesius.
KT tyrimai atskleidžia subdūrinius ar epidurinius hematomas 20% nesąmoningų žmonių.
Gydymas
Epidurinis hematoma yra chirurginė skubi būklė. Vėluojantis gydymas gali sukelti nuolatinę smegenų žalą ar mirtį. Be chirurgijos, mirtis dažniausiai įvyksta dėl hematomos didėjimo, sukeliančio smegenų išvaržą.
- Chirurginis gydymas:
- Kraniotomija ir hematomos evakuacija: Tai yra pirmenybė teikiama chirurginė intervencija. Jo metu pašalinama dalis kaukolės kaulo, pašalinamas kraujo clot, sustabdomas kraujavimas ir kaukolės kaulas grąžinamas į vietą bei tvirtinamas mažais varžteliais.
- Gręžimas ir drenažas: Kita chirurginė procedūra apima vieno ar daugiau skylių gręžimą kaukolėje, siekiant nutekinti kraują. Kraujo nutekėjimas sumažina kraujo sankaupos sukeliamą spaudimą smegenims. Po operacijos drenažas gali būti paliktas kelioms dienoms, kad kraujas toliau tekėtų.
- Laminektomija: Jei yra spinalinis epidurinis hematoma, gali būti atliekama laminektomija. Jos metu pašalinamas nedidelis kaulo segmentas, kad sumažėtų kraujo clot sukeltas spaudimas stuburo smegenims ir nervų šaknims.
Case study 56 - Epidural hematoma explained by Dr. Betsy Grunch, neurosurgeon
Nekirurginis / konservatyvus gydymas:
- Maži kraujo išsiliejimai, kurie nesukelia spaudimo smegenims ir pasireiškia tik lengvais simptomais, gali būti gydomi be chirurgijos. Kūnas laikui bėgant, paprastai per kelis mėnesius, gali absorbuoti nedidelį kiekį kraujo. Tokiais atvejais pacientas yra atidžiai stebimas su pakartotiniais galvos KT tyrimais, siekiant užtikrinti, kad hematoma gyja.
- Jei epidurinio hematomos tūris yra mažesnis nei 30 ml, clot skersmuo yra mažesnis nei 15 mm, Glasgow komos skalė yra aukštesnė nei 8, ir nėra pastebimų neurologinių simptomų, tada gali būti įmanoma gydyti konservatyviai.
Vaistai: Po operacijos neurologas ar neurochirurgas gali skirti vaistų, skirtų sumažinti uždegimą ir spaudimą smegenyse. Tarp tokių vaistų gali būti manitolis, hipertoninis druskos tirpalas ir glicerolis. Kai kuriais atvejais taip pat gali būti skiriami prieštraukuliniai vaistai, kadangi traukuliai kartais yra galvos sužalojimų komplikacija.
Reabilitacijos terapija: Jei buvo patirta smegenų žala, neurologas paskirs reikalingą terapiją - fizinę terapiją, ergoterapiją ir/ar kalbos terapiją.
Prognozė
Epidurinio hematomos prognozė iš esmės priklauso nuo diagnozės ir gydymo greičio.
- Sėkmės veiksniai: Prognozė yra geresnė, jei buvo šviesus intervalas, nei jei asmuo buvo komoje nuo sužalojimo momento. Arteriniai epiduriniai hematomos paprastai progresuoja greitai.
- Neigiami veiksniai: Rezultatai yra blogesni, jei prieš operaciją hematomoje buvo daugiau nei 50 ml kraujo. Amžius, pupilių nenormalumai ir Glasgow komos skalės rezultatas atvykus į skubios pagalbos skyrių taip pat turi įtakos prognozei.
Apie 2% galvos traumų ir 15% mirtingų galvos traumų apima epidurinis hematoma. Ši būklė yra labiau paplitusi paaugliams ir jauniems suaugusiems nei vyresnio amžiaus žmonėms, nes su amžiumi kietoji smegenų danga labiau prilimpa prie kaukolės, sumažindama hematomos susidarymo tikimybę.
Komplikacijos
Nors gydymas yra būtinas, svarbu žinoti ir apie galimas komplikacijas, susijusias su epidurinio hematomos gydymu, ypač chirurginiu:
- Infekcija: Tai gali apimti žaizdos infekciją pjūvio vietoje arba gilesnes infekcijas, tokias kaip meningitas ar osteomielitas.
- Smegenų išvarža (herniacija): Padidėjęs spaudimas gali suspausti ir stumti smegenų audinį, todėl jis pasislenka iš savo normalios padėties. Smegenų išvarža dažnai lemia mirtį.
- Kraujavimas: Kraujavimas gali būti paviršutiniškas arba gilesnis, ir gali atsirasti pasikartojantis hematoma, kuriai vėl reikia pašalinimo.
- Traukuliai: Traukuliai gali išsivystyti net ir po hematomos gydymo.
- Smegenų ar stuburo smegenų pažeidimas: Nors gydymo tikslas yra išvengti šių pažeidimų, jie vis tiek gali pasireikšti kaip komplikacijos.
Yra pranešimų apie epidurinio skysčio kolekcijas (EDC) po kranioplastikos, kurios gali pabloginti sąmonės būklę. Tokiais atvejais gali prireikti papildomų intervencijų, pavyzdžiui, vakuuminių drenažo sistemų.
Prevencija
Epidurinių hematomų prevencija daugiausia susijusi su galvos traumų rizikos mažinimu. Tai apima:
- Saugaus elgesio taisyklių laikymasis, ypač transporto priemonėse (pvz., saugos diržų naudojimas).
- Sportuojant dėvėti apsaugines priemones (pvz., šalmus).
- Atsargumas kritimo rizikos situacijose, ypač vyresniems žmonėms.
- Vengti pavojingų situacijų, kurios gali sukelti galvos traumas.

Išvada
Epidurinis hematoma yra kritinė medicininė būklė, reikalaujanti skubios diagnozės ir gydymo. Supratimas apie jo simptomus, priežastis ir gydymo galimybes gali padėti žmonėms laiku kreiptis pagalbos. Ankstyva intervencija ir tinkamas gydymas žymiai pagerina prognozę ir gali išgelbėti gyvybę, sumažinant ilgalaikės smegenų žalos riziką.