Įvadas
Sinovinės hemangiomos, ypač kelio sąnaryje, yra gana retos vaikų amžiaus grupėje. Šios gerybinės kraujagyslių anomalijos gali sukelti nuolatinius ar pasikartojančius kraujosruvius sąnario viduje (hemartrozą), tinimą ir judesių apribojimą, todėl ankstyva ir tiksli diagnostika yra itin svarbi. Tradiciniai vaizdinimo metodai, tokie kaip rentgenografija, dažnai neparodo šių pakitimų, o artroskopija, nors ir leidžia tiesiogiai apžiūrėti sąnarį, gali praleisti hemangiomos dalis, esančias sunkiai pasiekiamose vietose. Šiame straipsnyje nagrinėjama magnetinio rezonanso tomografijos (MRI) svarba diagnozuojant ir lokalizuojant kelio sinovines hemangiomas vaikams, remiantis naujausiais tyrimais ir klinikiniais stebėjimais.
Sinovinių Hemangiomų Specifika Vaikų Amžiuje
Sinovinės hemangiomos yra navikai, sudaryti iš nenormaliai išsivysčiusių kraujagyslių, kurie atsiranda sąnario vidinėje membranoje (sinovijoje). Vaikams jos dažniausiai pasireiškia kelio sąnaryje, nors gali atsirasti ir kituose sąnariuose. Šios ligos simptomai gali būti labai įvairūs ir kartais sunkiai atskiriami nuo kitų sąnarių patologijų. Dažniausi simptomai yra:
- Pasikartojantis hemartrozė: Tai kraujavimas į sąnarį be aiškios traumos istorijos. Šis simptomas gali pasireikšti kaip staigus sąnario tinimas, skausmas ir judesių apribojimas.
- Sąnario tinimas: Nuolatinis ar periodiškas sąnario patinimas, kurį sukelia kraujo kaupimasis ar padidėjęs sinovijos audinys.
- Judesių apribojimas: Skausmas ir tinimas gali apriboti kelio sąnario lankstumą ir jėgą, trukdydami normaliai vaikščioti ar sportuoti.
- Skausmas: Nors ne visada būdingas, skausmas gali atsirasti dėl sąnario uždegimo, spaudimo ar judesių apribojimo.
Ankstyvas šių simptomų atpažinimas ir kreipimasis į specialistą yra būtinas, kad būtų galima laiku pradėti gydymą ir išvengti ilgalaikių sąnario pažeidimų.
Vaizdinimo Metodų Palyginimas
Ankstesni diagnostikos metodai, tokie kaip rentgenografija, dažnai būdavo nepakankamai informatyvūs diagnozuojant sinovines hemangiomas. Rentgenogramos paprastai parodo tik kaulų struktūras ir gali atskleisti tik minkštųjų audinių patinimą, bet nepaaiškina jo priežasties. Tomografinė kompiuterinė tomografija (KT) gali suteikti daugiau informacijos apie minkštuosius audinius, tačiau jos gebėjimas vizualizuoti smulkias kraujagyslių anomalijas ir jų santykį su aplinkiniais audiniais yra ribotas, be to, ji susijusi su jonizuojančiosios spinduliuotės poveikiu.

Artroskopija, nors ir leidžia tiesiogiai apžiūrėti sąnario vidų, turi savo trūkumų. Ji gali padėti nustatyti hemangiomos buvimą ir dydį, tačiau sunkiai pasiekiamose vietose ar už sąnario ribų esančios naviko dalys gali likti nepastebėtos. Tai gali lemti nepilną gydymą ir vėlesnius atkryčius.
Magnetinio Rezonanso Tomografijos (MRI) Pranašumai
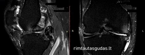
Magnetinio rezonanso tomografija (MRI) tapo auksiniu standartu diagnozuojant sinovines hemangiomas, ypač vaikų amžiaus grupėje. MRI naudoja stiprų magnetinį lauką ir radijo bangas, kad sukurtų detalius minkštųjų audinių vaizdus, be jonizuojančiosios spinduliuotės. Dėl šios priežasties ji yra saugesnė vaikams.
MRI suteikia keletą esminių pranašumų:
- Aukštas jautrumas ir specifiškumas: MRI yra itin jautri kraujagyslių anomalijoms ir gali tiksliai atskirti hemangiomą nuo kitų minkštųjų audinių darinių.
- Tiksli lokalizacija: MRI leidžia tiksliai nustatyti hemangiomos vietą sąnario viduje, jos dydį ir santykį su svarbiomis struktūromis, tokiomis kaip kremzlės, raiščiai ir meniskai.
- Ekstraartikuliarinių dalių vizualizacija: Viena iš svarbiausių MRI savybių yra gebėjimas vizualizuoti naviko dalis, esančias už sąnario ribų (ekstraartikuliariai) ar sunkiai pasiekiamose "aklose" vietose, kurias artroskopija gali praleisti. Tai ypač svarbu planuojant gydymą ir siekiant visiško naviko pašalinimo.
- Diferencinė diagnostika: MRI padeda atskirti hemangiomą nuo kitų galimų kelio skausmo priežasčių, tokių kaip sinovitas, kitokie navikai ar uždegiminiai procesai.
Remiantis pateikta informacija, per pastarąjį dešimtmetį buvo ištirti 12 pacientų, kurių amžiaus vidurkis buvo 11 metų. Aštuoniems pacientams pasireiškė pasikartojantis kelio hemartrozė be traumos istorijos, o kitiems aštuoniems buvo stebimas sąnario tinimas ir judesių apribojimas. Iš šių 12 pacientų:
- 8 pacientams buvo atlikta radiografija.
- 2 pacientams buvo atlikta kompiuterinė tomografija.
- 7 pacientams buvo atlikta magnetinio rezonanso tomografija.
Rezultatai parodė, kad radiografijos neatskleidė jokių anomalijų, išskyrus minkštųjų audinių patinimą 8 atvejais. KT tyrimas taip pat nebuvo pakankamai informatyvus. Tačiau visais 7 MRI tyrimo atvejais buvo tiksliai nustatyta hemangiomos vieta, jos santykiai su intraartikulinėmis struktūromis, o 3 atvejais buvo pastebėta ir ekstraartikulinė naviko dalis.

Gydymo Metodai ir MRI Įtaka
Nors straipsnyje nenurodomi visi gydymo metodai, minimas vietinis sklerozuojantis gydymas, atliekant tiesioginę injekciją natrio tetradecilsulfato arba etanolio. Šie metodai dažnai naudojami mažesnėms hemangiomoms gydyti, siekiant sukelti kraujagyslių susitraukimą ir naviko sumažėjimą.
MRI vaidmuo gydymo planavime yra esminis. Tiksliai nustačius naviko dydį, jo lokalizaciją ir santykį su aplinkiniais audiniais, gydytojai gali pasirinkti tinkamiausią gydymo strategiją. Jei navikas yra didelis ar išplitęs, gali prireikti chirurginio pašalinimo. MRI padeda chirurgams planuoti operaciją, numatyti galimus sunkumus ir užtikrinti kuo pilnesnį naviko pašalinimą, taip sumažinant atkryčio riziką.
Kelio sąnario artroskopija
Vaikų ir Tėvų Informavimas
Svarbu, kad vaikai ir jų tėvai suprastų šios būklės rimtumą ir diagnostikos bei gydymo procesą. MRI procedūra gali kelti nerimą vaikams dėl ilgo gulėjimo ramiai ir klaustrofobiškos aplinkos. Todėl svarbu tinkamai paruošti vaiką procedūrai, paaiškinti, kas vyks, ir, jei reikia, naudoti sedaciją. Tėvai turėtų būti informuoti apie ligos eigą, galimus gydymo variantus ir prognozes, kad galėtų aktyviai dalyvauti vaiko priežiūroje.
Išvados ir Tolesni Tyrimai
Magnetinio rezonanso tomografija (MRI) yra neįkainojama priemonė diagnozuojant kelio sinovines hemangiomas vaikams. Ji leidžia tiksliai lokalizuoti naviką, įvertinti jo santykius su intraartikulinėmis ir ekstraartikulinėmis struktūromis, taip padedant pasirinkti optimalų gydymo metodą ir gerinant gydymo rezultatus. Nors pateikta informacija yra vertinga, reikalingi tolesni tyrimai, apimantys didesnį pacientų skaičių ir ilgesnį stebėjimo laikotarpį, siekiant dar labiau patobulinti šių retų, bet potencialiai žalingų būklių diagnostiką ir valdymą vaikams. Visapusiškas supratimas apie hemangiomų biologiją ir jų poveikį augančiam organizmui yra būtinas siekiant užtikrinti geriausią įmanomą gydymą ir ilgalaikę sąnarių sveikatą.