Nėštumas - tai stebuklingas laukimo ir pasiruošimo laikotarpis, tačiau kartais jis gali būti apkartintas netikėtų ir sudėtingų medicininių diagnozių. Viena tokių būklių, galinčių sukelti nerimą būsimiems tėvams, yra vaisiaus hidropsas, ypač kai jis susijęs su cistine higroma. Ši būklė reikalauja išsamaus supratimo, atidaus stebėjimo ir tinkamo gydymo, siekiant užtikrinti geriausią įmanomą rezultatą tiek motinai, tiek kūdikiui. Šiame straipsnyje detaliai aptarsime, kas yra cistinė higroma ir vaisiaus hidropsas, kokios jų priežastys, simptomai, diagnostikos metodai, gydymo galimybės ir pasekmės, taip pat kokia parama gali būti suteikta tėvams.
Kas yra Cistinė Higroma?
Cistinė higroma yra retas, skysčiu pripildytas maišelis, kuris paprastai išsivysto kaklo arba galvos srityje, daugiausia kūdikiams ir vaikams. Ji apibrėžiama kaip gerybinis (nevėžinis) limfinės sistemos malformacija, kuriai būdingas vienas ar keli limfinio skysčio pripildyti cistos. Šios cistos gali būti įvairaus dydžio ir gali būti įvairiose kūno vietose, nors dažniausiausiai jos aptinkamos kaklo ir pažastų srityse.

Terminologijos požiūriu, higroma (lot. hygroma) reiškia organizmo maišelį arba pūslę, pripildytą skysčio. Sausgyslės makšties arba tepalinio maišelio higroma (vandenė) dažniausiai būna kaklo, girnelės, riešo srityje. Tačiau kai kalbama apie vaisiaus vystymosi anomalijas, dažniausiai susiduriama su cistine higroma, kuri yra limfagyslių gerybinis navikas (limfangioma), sudaryta iš kelių didelių plonasienių cistų, ir dažniausiai aptinkama kaklo srityje. Subdurinė higroma yra atskira būklė, susijusi su smegenų skysčio sankaupa tarp kietojo ir minkštojo smegenų dangalų, dažnai besimptomė, bet didelis darinys gali spausti smegenis.
Ši būklė atsiranda dėl limfinės sistemos, atsakingos už skysčių pertekliaus nutekėjimą iš audinių ir jo grąžinimą į kraują, išsigimimo. Vaisiaus hidropsas, kita vertus, yra būklė, kai vaisiaus audiniuose ir ertmėse kaupiasi skysčiai, nebūtinai tiesiogiai susijusi su limfinės sistemos anomalija, nors gali būti jos pasekmė.
Cistinės Higromos Priežastys ir Rizikos Veiksniai
Nors tiksli cistinės higromos priežastis nėra iki galo suprantama, kai kurie tyrimai rodo, kad aplinkos veiksniai nėštumo metu, pavyzdžiui, tam tikrų infekcijų ar toksinų poveikis, gali atlikti tam tikrą vaidmenį. Tačiau manoma, kad genetiniai veiksniai reikšmingai prisideda prie cistinės higromos išsivystymo. Tam tikros chromosomų anomalijos, tokios kaip Turnerio sindromas ir Dauno sindromas, buvo susijusios su padidėjusia cistinės higromos rizika.
Remiantis 2015-2018 m. Kauno klinikose atlikto tyrimo duomenimis, pastebėta, kad dažniausias nėščiosios amžius, kuriai nustatyti vaisiaus pakitimai, buvo 30 metų. 35 metų ir vyresnės nėščiosios sudarė 30,3 proc. tiriamųjų. 38,5 proc. tiriamųjų tai buvo pirmas nėštumas. 27 proc. nėščiųjų biocheminiais-genetiniais tyrimais nustatyta padidėjusi chromosominių vaisiaus anomalijų rizika. Jaunesnių nei 30 m. tiriamųjų grupėse dažniausia buvo centrinės nervų sistemos (CNS) patologija, 30-34 m. grupėje - viršutinių kvėpavimo takų (VKT) patologija (nors šioje vietoje gali būti kalbama apie vaisiaus anomalijas, susijusias su kvėpavimo takais, o ne suaugusiųjų VKT), o 35 m. ir vyresnių grupėje - širdies yda. Jaunesnių nei 35 m. moterų amžiaus grupėse vyravo vienas vaisiaus ultragarsinis (UG) žymuo, 35 m. ir vyresnių - du. Kariotipo patologija nustatyta 26,2 proc. vaisių, iš kurių Dauno sindromas buvo dažniausias.
Nors gyvenimo būdas ir mitybos veiksniai nėra tiesiogiai susiję su cistinės higromos išsivystymu, sveikas gyvenimo būdas nėštumo metu gali sumažinti komplikacijų riziką.
Cistinės Higromos ir Hidropso Diagnostika
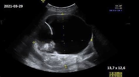
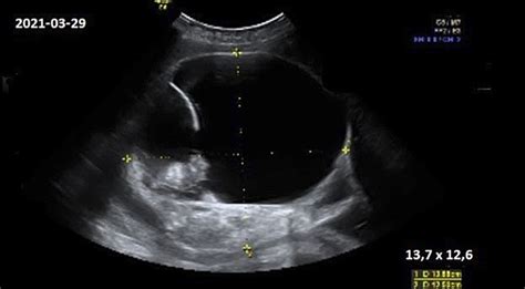
Cistinė higroma gali pasireikšti įvairiais simptomais, priklausomai nuo jos dydžio ir vietos. Dažniausiai diagnozė pradedama nuo išsamaus klinikinio įvertinimo. Ultragarsinis tyrimas yra pagrindinis diagnostikos įrankis, leidžiantis vizualizuoti darinį, įvertinti jo dydį, struktūrą ir vietą.
Vaisiaus patologija ultragarsu dažniausiai reiškia tris radinių grupes: struktūrinius defektus, vaisiaus augimo ir būklės sutrikimų požymius bei netiesioginius žymenis, kurie padidina chromosomų ar genetinių priežasčių tikimybę. Struktūrinė anomalija apibūdinama kaip specifinis organo ar kūno dalies struktūros pokytis. Netiesioginiai žymenys, nors ir gali būti randami sveikame vaisiuje, keičia tyrimo strategiją priklausomai nuo to, ar anksčiau buvo atliktas aneuploidijos patikrinimas ir kiek izoliuotas yra žymuo.
Pirmojo trimestro pabaigoje (11-14 nėštumo savaitės) ultragarsinis tyrimas apima gestacinio amžiaus, vaisiaus skaičiaus ir chorioniškumo nustatymą, gyvybingumo įvertinimą ir ankstyvų didelių defektų patikrinimą. Tarptautinės ultragarso akušerijoje ir ginekologijoje draugijos (ISUOG) gairės pabrėžia, kad kai kuriuos rimtus sutrikimus galima aptikti jau šiuo laikotarpiu, tačiau daugelio organų jautrumas vis dar yra ribotas.
Informatyviausiu anatomijos tyrimu laikomas įprastinis tyrimas antrąjį trimestrą (nėštumo viduryje), kai organai yra susiformavę ir geriausiai vizualizuojami. Atnaujintos ISUOG gairės pateikia privalomų vertinimų sąrašą: širdies plakimas, vaisiaus skaičius, nėštumo amžius ir dydis, pagrindinė anatomija, placenta, vaisiaus vandenys ir papildomi elementai. Širdies patikra kaip atskira praktinė užduotis dažniausiai yra optimali nuo 18 iki 22 savaitės.
Trečiąjį trimestrą ultragarsiniai tyrimai sutelkiami į vaisiaus augimą, pateikimą, placentą, vaisiaus vandenų kiekį ir Doplerio parametrus, taip pat vėlyvojo laikotarpio anomalijų nustatymą. Rizika pagrįsti tiksliniai tyrimai dažniau naudojami realioje praktikoje.
Centrinės nervų sistemos (CNS) sutrikimai, tokie kaip cistinė higroma, dažnai įtariami remiantis standartiniais matavimais ir struktūrų forma, o vėliau patikslinami tiksline neurosonografija. Atvira spina bifida paprastai pasireiškia ne tik stuburo defektu, bet ir tipiškais kaukolės požymiais. Pirmajame trimestre kai kuriuos stuburo defektus galima įtarti naudojant ankstyvuosius žymenis, įskaitant intrakranijinio skaidrumo įvertinimą.

Širdies defektai išlieka viena reikšmingiausių įgimtų anomalijų grupių. Jei ultragarsinis tyrimas įtaria sudėtingą širdies ydą, paprastai taikomas siuntimas į specializuotą centrą, kuriame atliekama vaisiaus echokardiografija.
Priekinės pilvo sienos defektai, tokie kaip omfalocelė ir gastroschizė, dažnai aiškiai matomi įprastinės apžiūros metu. Virškinimo trakto atrezija ir obstrukcija dažnai įtariami remiantis išsiplėtusių žarnų kilpų, skrandžio prisipildymo ypatybių ir vaisiaus vandenų kiekio pokyčių deriniu.
Šlapimo takų sutrikimai dažnai pasireiškia inkstų geldelių ir taurelių išsiplėtimu, parenchimos pokyčiais, šlapimtakio išsiplėtimu, šlapimo pūslės anomalijomis ir vaisiaus vandenų tūrio pokyčiais. Svarbiausias šlapimo sistemos rodiklis yra amniono skysčio tūris.
Ascitas ir vaisiaus hidropsas reikalauja ypač griežto aprašymo, nes tai yra sindromai, o ne atskiros ligos. Šiuolaikinėse apžvalgose vaisiaus hidropso kriterijus suformuluojamas kaip dviejų ar daugiau patologinių skysčių sankaupų buvimas, pavyzdžiui, ascitas ir pleuritas, dažnai kartu su odos edema; po to priežastis ieškoma įvairiose sistemose.
Be ultragarsinio tyrimo, gali būti atliekami ir genetiniai tyrimai iš vaisiaus vandenų (amniocentezė) ar choriono gaurelių biopsija, siekiant nustatyti chromosomų anomalijas, kurios gali būti susijusios su cistine higroma ar hidropsu.
Gydymo Galimybės ir Pasekmės
Vystantis cistinei higromai, dažniausiai tenka taikyti chirurginį gydymą - gydytojai stengiasi pašalinti visą darinį. Jei dalis cistos audinių lieka, yra apie 15 % tikimybė, kad ji vėl atsinaujins.
Tačiau egzistuoja ir papildomų gydymo būdų, kurie naudojami tada, kai operacija netinka ar nepasiteisina. Kitos gydymo galimybės apima:
- Chemoterapija: Naudojama tam tikrais atvejais, ypač jei navikas yra agresyvesnis ar didesnis.
- Spindulinė terapija: Nors rečiau taikoma gerybiniams navikams, gali būti svarstoma specifinėse situacijose.
- Steroidai: Gali būti naudojami siekiant sumažinti uždegimą ar darinio dydį.
- Skleroterapija: Tai druskos tirpalo arba kitos sklerozuojančios medžiagos suleidimas į cistą, siekiant ją sunaikinti ir sukelti randėjimą.
Cistinė higroma gali turėti rimtos įtakos nėštumo eigai - ji padidina per didelio arba per mažo vaisiaus vandenų kiekio tikimybę, o tai pavojinga besivystančiam mažyliui. Deja, šis darinys dažnai sukelia persileidimą.
Naujagimiui, gimusiam su cistine higroma, gali pasireikšti įvairios problemos. Pavyzdžiui, darinys gali užspausti kvėpavimo takus, trukdyti kvėpuoti arba sukelti veido formos pokyčius. Be to, cista kelia grėsmę odos infekcijoms, tokioms kaip celiulitas.
Nors operacija suteikia didžiausią galimybę visiškai pašalinti higromą, ji gali turėti šalutinių efektų, įskaitant nervų pažeidimą ar gausų kraujavimą. Pasitaiko atvejų, kai cista atauga.
Kitas svarbus aspektas yra vaisiaus hidropsas. Tai būklė, kai vaisiaus audiniuose ir ertmėse kaupiasi skysčiai. Jis gali būti imuninis (dėl kraujo grupės nesuderinamumo tarp motinos ir vaisiaus) arba neimuninis (dėl įvairių vaisiaus anomalijų, infekcijų, širdies sutrikimų, chromosominių anomalijų ar placentos problemų). Vaisiaus hidropsas yra rimtas būklė, turinti didelę mirtingumo riziką.
Parama Tėvams
Susidūrus su tokiomis diagnozėmis kaip vaisiaus hidropsas ar cistinė higroma, šeimoms svarbu rasti bendraminčių, kurie supranta šią patirtį. Psichologinė parama, informacijos apie būklę suteikimas ir palaikymas yra itin svarbūs. Nėščiųjų, kurių vaisiui nustatyti pakitimai, konsultavimas gydytojo genetiko ir akušerio-ginekologo komandos yra būtinas.
Šeimos, susidūrusios su šia diagnoze, gali rasti pagalbą specializuotuose forumuose, paramos grupėse ar per nevyriausybines organizacijas, kurios teikia informaciją ir emocinę paramą. Svarbu suprasti, kad nors diagnozė gali būti bauginanti, šiuolaikinė medicina siūlo vis daugiau galimybių tiek diagnostikai, tiek gydymui, o ankstyva intervencija ir tinkamas stebėjimas gali žymiai pagerinti prognozę.
Cistinė higroma yra sudėtinga būklė, kurią reikia atidžiai įvertinti ir gydyti. Svarbu suprasti jos priežastis, simptomus ir gydymo galimybes tiek sergantiems asmenims, tiek jų šeimoms. Šis straipsnis skirtas tik informaciniams tikslams ir nepakeičia profesionalios medicininės konsultacijos.