Enfisema poodinė, mediciniškai apibrėžiama kaip dujų ar oro kaupimasis po oda, yra būklė, kuri gali sukelti įvairių simptomų ir reikalauja tinkamo supratimo tiek medicinos, tiek odontologijos srityse. Kai oro patenka į tarpuplautį, tai vadinama pneumomediastino. Šie reiškiniai, nors ir reti, gali atsirasti dėl įvairių priežasčių, įskaitant gimdymą, dantų procedūras ir kitus medicininius intervencinius veiksmus. Šiame straipsnyje nagrinėsime šių būklių patofiziologiją, diagnostiką, gydymą ir svarbiausius aspektus, remdamiesi pateikta informacija.
Pneumomediastino ir Poodinės Emfizemos Apibrėžimas ir Klasifikacija
Pneumomediastino apibrėžiamas kaip laisvo oro buvimas tarpuplautyje, dažnai kartu su poodine emfizema. Jis klasifikuojamas kaip spontaninis, kai nėra aiškios priežasties, ir trauminis, kai atsiranda dėl tarpuplaučio intervencijos, perforacijos ar traumos. Spontaniškas pneumomediastino atsiranda, kai terminaliniai alveolės plyšta dėl trachėjos hiperinfliacijos. Viena iš mažiau žinomų spontaninio pneumomediastino priežasčių yra Hamano sindromas (aprašytas Louiso Hamano 1939 m.), kuris reiškia spontaninį pneumomediastino, susijusį su poodine emfizema, atsirandantį pogimdyminiu laikotarpiu. Tai reta būklė, iki 1994 m. literatūroje aprašyta tik apie 200 atvejų.

Poodinė emfizema medicinoje yra būklė, kai dujos ar oras patenka į odos sluoksnį. Kadangi oras dažniausiai patenka iš krūtinės ertmės, poodinė emfizema dažniausiai pasireiškia krūtinėje, kakle ir veide. Šiai būklei būdingas būdingas traškėjimas liečiant odą, pojūtis, kuris buvo apibūdinamas kaip panašus į traškančių dribsnių ar sniego lietimą; šis oro pojūtis po oda žinomas kaip poodinis traškėjimas.
Priežastys ir Patofiziologija
Gimdymas ir Hamano Sindromas
Viena iš svarbiausių ir retesnių spontaninio pneumomediastino priežasčių gimdymo metu yra Hamano sindromas. Jis apibrėžiamas kaip poodinės emfizemos ir pneumomediastino derinys pogimdyminiu laikotarpiu. Nors gimdymas paprastai laikomas saugiu, tam tikrais atvejais, ypač kai gimdyvės stengiasi atlikti Valsalvos manevrus, gali padidėti intratorakacinis slėgis. Šis slėgio padidėjimas, ypač kartu su sumažėjusiu kraujagyslių kalibru, gali sukelti oro disekciją į tarpuplautį ir vėliau į poodinius audinius.
Hamano sindromas yra reta komplikacija, susijusi su gimdymu, ir pasireiškia maždaug 1 iš 100 000 gimdymų. Tačiau jis taip pat buvo aprašytas ir kartu su kitais procesais, neapsiribojant pogimdyminiu laikotarpiu, tokiais kaip rėkimas, kosulys, hiperemezė, kvėpavimo takų infekcijos ar fizinis krūvis. Jis dažniau pasireiškia jaunoms pirmą kartą gimdančioms moterims ir yra susijęs su didelių kūdikių gimdymu. Manoma, kad jis taip pat gali atsirasti perinataliu laikotarpiu pacientėms, sergančioms nėštumo hiperemezė. Tačiau dauguma atvejų pasitaiko antrajame gimdymo etape pas pirmą kartą gimdančias moteris, kurios patiria ilgalaikį ir sunkų gimdymą, dėl pastangų atliekant Valsalvos manevrus. Simptomai paprastai pasireiškia trečiame ar ketvirtame gimdymo etape.
Patofiziologija grindžiama alveolių plyšimu dėl nežymaus intraalveolinio slėgio padidėjimo ir nuolatinių Valsalvos manevrų (priverstinis iškvėpimas uždarytu glotisu), susijusių su kosuliu, vėmimu, rėkimu ir stūmimu gimdymo metu. Intrathorakacinis slėgis gali pakilti iki 50 cmH2O lygių. Šis slėgio padidėjimas, esant sumažėjusiam kraujagyslių kalibrui, sukuria slėgio gradientą kraujagyslių makštyje, išilgai kurios oras gali disekuoti tarpuplautį, o vėliau oras gali migruoti į poodinius audinius.
Dantų Procedūros
Enfisema poodinė ir pneumomediastino gali būti retos, tačiau rimtos komplikacijos po dantų procedūrų, ypač tų, kurių metu naudojami oro srovę generuojantys įrankiai, pvz., dantų turbinos. Šios turbinos veikia suspaustu oru, kurio slėgis yra apie 3,5-4,0 kgf/cm², ir sukasi 450 000 aps./min. Kai oras patenka po oda, jis gali likti lokaliai chirurginėje vietoje arba toliau plisti palei jungiamojo audinio plokšteles. Klinikiniai šio įvykio rezultatai yra vietinis patinimas, odos įtempimas ir traškėjimas liečiant. Ekstremaliais atvejais oras gali patekti per kramtomąją erdvę į parafaringinę ir retrodariningę sritis, prasiskverbdamas į tarpuplautį ir sukeldamas tarpuplaučio emfizemą.

Viename iš aprašytų atvejų, 25 metų pacientė, kuriai buvo atliekama apatinio dešiniojo trečiojo krūminio danties šalinimo procedūra, naudojo turbiną dantis atskirti. Oras, kurį gamino turbina, pateko į dalinai pašalintą kramtomojo raumens skaidulų vietą. Beveik iš karto po danties atskyrimo, pacientės dešinė veido pusė ištino nuo apatinio žandikaulio krašto iki dešinės akies. Pacientė nejuto skausmo, jautrumo ar kvėpavimo sutrikimų dėl patinimo. Chirurginė procedūra buvo nedelsiant sustabdyta.
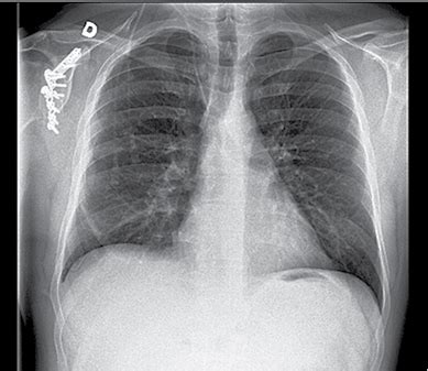
Kitas atvejis apibūdina 46 metų moterį, kuri buvo skubiai pristatyta į priėmimo skyrių su centrine dusulio, krūtinės skausmo ir dvipusio kaklo patinimo istorija. Valandą prieš tai jai buvo atlikta dešiniojo apatinio antrojo krūminio danties šalinimo procedūra vietinėje nejautroje. Jos bendra būklė buvo gera. Apžiūra parodė dvipusį kaklo patinimą ir vidurinės linijos trachėją, su traškėjimu liečiant, rodantį gilią odos emfizemą. Krūtinės rentgenograma parodė difuzinę poodinę emfizemą, pneumomediastino ir dalinį dešinįjį pneumotoraksą.
Nors dauguma atvejų, susijusių su dantų intervencijomis, yra susiję su sukimosi įrankio naudojimu, kuris įpurškia orą į sublingualinę ir submandibulinę erdves, galinčias disekuoti gilesnes plokšteles ir per kaklą sukelti pneumomediastino, yra aprašyti atvejai, kai emfizema atsirado po restauracinio dantų gydymo, naudojant kontrą su klasės V užpildu.
Kitos Priežastys
Be gimdymo ir dantų procedūrų, poodinė emfizema ir pneumomediastino gali atsirasti dėl daugelio kitų priežasčių:
- Traumos: Perforuojančios traumos (pvz., šautinės ar pjautinės žaizdos) ar kontuzinės traumos gali sukelti oro patekimą į krūtinę ir kaklą.
- Infekcijos: Kai kurios infekcijos, pvz., dujinė gangrena, gali sukelti dujų kaupimąsi poodiniuose audiniuose.
- Medicininės procedūros: Kai kurios medicininės procedūros, tokios kaip krūtinės ląstos chirurgija, stemplės operacijos, arba teigiamos slėgio ventiliacijos naudojimas, gali sukelti oro patekimą į poodinius audinius ar tarpuplautį.
- Kvėpavimo takų ligos: Būklės, kai alveolių slėgis yra didesnis nei aplinkinių audinių slėgis, gali sukelti spontanišką alveolių plyšimą. Tai apima ir plaučių barotraumą, kuri gali atsirasti dėl didelio slėgio ventiliacijos.
Viename tyrime, aprašytame 12 metų berniukas be ankstesnių sveikatos problemų, kreipėsi į skubios pagalbos skyrių dėl kairės viršraktikaulinės srities patinimo ir diskomforto, kuris, liečiant, sukeldavo traškėjimo pojūtį. Jis susijęs su disfagija ir nedideliu krūtinės skausmu, be kvėpavimo sutrikimų ar spalvos pasikeitimo. Pacientas susiejo simptomų atsiradimą su žiovulio manevru. Penkiomis dienomis anksčiau jam buvo pašalinti 2 dantys, vietinėje nejautroje, be akivaizdžių komplikacijų.
Klinikiniai Simptomai ir Diagnostika
Klinikiniai simptomai, susiję su poodine emfizema ir pneumomediastino, gali skirtis priklausomai nuo priežasties ir paveiktos srities. Dažniausi simptomai yra:
- Patinimas: Vietinis patinimas, ypač kaklo, veido, krūtinės srityje.
- Traškėjimas: Charakteringas traškėjimo pojūtis liečiant odą, panašus į sniego ar traškučių lietimą.
- Skausmas: Krūtinės skausmas (ypač retrosternalinis), kaklo ar veido skausmas.
- Diskomfortas: Gerklės skausmas (odinofagija), rijimo sutrikimai (disfagija).
- Kvėpavimo sutrikimai: Dusulys, pasunkėjęs kvėpavimas, ypač jei emfizema yra didelė ir spaudžia kvėpavimo takus.
- Balso pokyčiai: Pokyčiai balso tembre.
Kai kuriais atvejais, kaip Hamano sindromo atveju, pacientė gali skųstis gerklės skausmu ir traškėjimo pojūčiu kaklo srityje, be dusulio. Kraujospūdis, širdies susitraukimų dažnis ir deguonies prisotinimas gali būti normalūs. Plaučių auskultacija gali būti normali.

Diagnostikos Metodai
- Fizikinė apžiūra: Traškėjimo pojūtis liečiant odą yra vienas iš svarbiausių diagnostinių požymių.
- Krūtinės ląstos rentgenograma: Tai pirminis diagnostikos metodas. Ji gali parodyti poodinę emfizemą kaklo ir klakulinėse srityse, taip pat pneumomediastino. Tačiau kartais mažos oro kiekiai gali būti nepastebimi.
- Krūtinės ląstos kompiuterinė tomografija (KT): KT laikoma "aukso standartu" diagnozuojant pneumomediastino, nes ji gali aptikti net mažus oro kiekius, kurie nepastebimi rentgenogramoje. Tai taip pat leidžia atmesti kitas būkles, tokias kaip mediastinitas, laisvas skystis ar stemplės plyšimas.
- Kraujo tyrimai: Paprastai atliekami siekiant įvertinti bendrą paciento būklę ir atmesti kitas patologijas. Inkstų funkcijos, jonų ir kepenų funkcijos tyrimai paprastai būna normalūs.
Kai kuriais atvejais, ypač po dantų procedūrų, greitas dusulio atsiradimas gali būti klaidingai diagnozuotas kaip alerginė reakcija į anestetiką. Tačiau dantų gydytojai ir gydytojai turėtų žinoti, kad minkštųjų audinių emfizema gali sukelti ūminį kaklo patinimą po odontologinių procedūrų, kuris gali priminti alerginę reakciją.
Gydymas ir Valdymas
Dauguma poodinės emfizemos ir spontaninio pneumomediastino atvejų yra savaime besigydantys ir nereikalauja specifinio gydymo, išskyrus simptominį palengvinimą.
Konservatyvus Gydymas
- Poilsis: Svarbu vengti veiksnių, galinčių pabloginti būklę, tokių kaip kosulys, rėkimas ar fizinis krūvis.
- Analgezija: Skausmui malšinti skiriami analgetikai.
- Deguonies terapija: Jei deguonies prisotinimas yra sumažėjęs, gali būti skiriama deguonies terapija.
- Antibiotikai: Kartais skiriami antibiotikai, siekiant užkirsti kelią infekcijoms, ypač jei yra poodinės emfizemos ar pneumomediastino, susijusių su dantų procedūromis.
Hamano sindromo atveju, gydymas paprastai apima poilsį, deguonies terapiją (kai reikia) ir analgeziją. Pacientai gali būti saugiai išrašomi į namus su analgetikų gydymu.
Specifinis Gydymas
Labai retais atvejais, kai yra susijęs pneumotoraksas, gali prireikti krūtinės drenažo vamzdelio įterpimo. Jei pasireiškia masyvi poodinė emfizema, kuri trukdo kvėpavimui, gali prireikti chirurginio drenažo.
Kai kuriais atvejais, siekiant užkirsti kelią mediastinito vystymuisi po dantų procedūrų, gali būti skiriami antibiotikai, pvz., Augmentin® (amoksicilinas + klavulano rūgštis) arba Co-Amoxi-Mepha 625 mg® (amoksicilinas + klavulano rūgštis).
Pagal pateiktą informaciją, vienam pacientui, kuriam po dantų procedūros atsirado poodinė emfizema ir pneumomediastino, buvo taikomas konservatyvus gydymas su antibiotikais ir analgetikais. Per tris dienas kaklo patinimas ir traškėjimas išnyko, o pneumotoraksas buvo išspręstas.
Implikacijos ir Prevencija
Gimdymas
Nors Hamano sindromas yra reta komplikacija, svarbu, kad medicinos personalas būtų informuotas apie jo galimybę, ypač gimdymo metu. Tinkamas gimdymo valdymas ir, jei įmanoma, Valsalvos manevrų vengimas gali padėti sumažinti riziką.
Dantų Procedūros
Dantų gydytojai ir higienistai turėtų žinoti apie poodinės emfizemos ir pneumomediastino riziką, susijusią su dantų procedūromis, ypač naudojant oro srovę.
- Tinkamų įrankių naudojimas: Dantų procedūrų metu, ypač atliekant trečiųjų krūminių dantų šalinimą, rekomenduojama naudoti kampinį daugintuvą (1:5), kuris nenaudoja didelio greičio oro srovės, vietoj turbinos.
- Atidumas: Svarbu atlikti greitą diagnostiką, kad būtų išvengta rimtesnių pasekmių, tokių kaip mediastinitas ar pneumotoraksas.
- Informuotumas: Dantų gydytojai ir skubiosios medicinos gydytojai turėtų žinoti, kad kaklo patinimas ir traškėjimas po dantų procedūros gali būti emfizemos požymiai, o ne alerginė reakcija, hematoma ar infekcija.
Turbinos veikimas - turbokompresorių remonto centras
Bendros Rekomendacijos
- Ankstyva diagnostika: Svarbu greitai diagnozuoti šias būkles, kad būtų galima laiku pradėti tinkamą gydymą ir išvengti komplikacijų.
- Pacientų stebėjimas: Pacientai, kuriems pasireiškia poodinė emfizema ar pneumomediastino, turėtų būti atidžiai stebimi, siekiant užtikrinti visapusišką pasveikimą ir atmesti galimas komplikacijas.
- Švietimas: Svarbu informuoti tiek medicinos specialistus, tiek pacientus apie šias retas, bet potencialiai pavojingas būkles.
Išvados
Nors spontaninis pneumomediastino ir poodinė emfizema yra retos būklės, jos gali sukelti reikšmingų medicininių iššūkių. Nuo gimdymo komplikacijų, tokių kaip Hamano sindromas, iki dantų procedūrų pasekmių, šios būklės reikalauja atidumo ir tinkamo supratimo. Krūtinės ląstos rentgenograma ir KT yra pagrindiniai diagnostikos įrankiai, o dauguma atvejų sėkmingai gydomi konservatyviai. Dantų gydytojai turėtų būti ypač budrūs naudodami oro srovę generuojančius įrankius ir atpažinti emfizemos požymius, kad išvengtų rimtesnių komplikacijų. Ankstyva diagnostika ir tinkamas valdymas yra esminiai siekiant užtikrinti pacientų saugumą ir gerą sveikatos rezultatą.
tags: #enfisema #fetale #sottocutaneo