Pastaraisiais metais odontologijos turizmas išgyvena sparčią plėtrą, o pacientai vis dažniau keliauja į užsienį ieškodami kokybiškų ir prieinamų dantų gydymo paslaugų. Ši tendencija atspindi pasaulinį sveikatos priežiūros vartojimo pokytį, kurį lemia ekonominiai skirtumai, pacientų noras sutaupyti lėšų, siekis gauti aukštos kokybės priežiūrą ir galimybė derinti gydymą su turizmu. Šioje ataskaitoje bus pateikiama lyginamoji dantų implantų ir „Hollywood Smile“ procedūrų analizė Italijoje ir Turkijoje, siekiant išryškinti šių rinkų privalumus, kainų skirtumus ir paslaugų kokybę. Abi šalys užima svarbias vietas pasaulinėje odontologijos turizmo rinkoje, tačiau taiko skirtingus verslo modelius ir turi savų specifikų.

Dantų implantų kainų ir procedūrų palyginimas
Dantų implantų kainos Italijoje ir Turkijoje skiriasi žymiai, o tai yra vienas pagrindinių veiksnių, lemiančių pacientų pasirinkimą. Turkija paprastai išsiskiria gerokai mažesnėmis kainomis, dažnai siūlydama „viskas įskaičiuota“ paketus, o Italija, nepaisant didesnių kainų, išlaiko griežtų reguliavimo standartų ir nusistovėjusios kokybės reputaciją.
Kainų skirtumai:
- Italija: Vienam dantų implantui kaina svyruoja nuo 850 iki 1500 eurų, o vidutinė kaina siekia apie 1082.5 eurų. Kai kurios pigesnės klinikos, pavyzdžiui, „Clinic Fantozzi“ Romoje, siūlo paslaugas nuo 850 eurų, vidutinės klasės klinikos, kaip „Humanitas“ ligoninė Milane, kainos prasideda nuo 990 eurų, o aukštos kokybės paslaugas teikiančios klinikos, tokios kaip „Centro Chir.Toscano“ Arece, gali imti iki 1500 eurų. Papildomos procedūros, tokios kaip kaulų transplantacija, gali kainuoti nuo 500 iki 1000 eurų, o sinuso pakėlimo procedūra - nuo 1000 iki 2000 eurų. Kompiuterinės tomografijos ir rentgeno nuotraukos kainuoja nuo 100 iki 300 eurų.
- Turkija: Dantų implantų kainos Turkijoje paprastai svyruoja nuo 400 iki 1500 JAV dolerių už implantą. Vidutiniškai kaina gali būti apie 550-1080 dolerių. Kainos Turkijoje yra gerokai mažesnės, palyginti su Italija, ir sutaupymai gali siekti 2-3 kartus daugiau už vieną implantą, o už visos burnos restauracijas - dar daugiau.
Platus kainų diapazonas tiek Italijoje (nuo 850 iki 3500 eurų), tiek Turkijoje (nuo 400 iki 1500 dolerių) rodo, kad „kaina vienam implantui“ yra labai kintamas rodiklis. Šis kintamumas priklauso ne tik nuo šalies, bet ir nuo klinikos reputacijos, vietos šalyje (pvz., dideli miestai kaip Milanas/Roma Italijoje ar Stambulas/Ankara Turkijoje), konkretaus implanto prekės ženklo/medžiagos ir susijusių procedūrų, tokių kaip atramos, vainikėliai ar kaulų transplantatai. Todėl pacientams labai svarbu prašyti išsamių kainų pasiūlymų.
Procedūros ir trukmė:
- Italija: Įprastas dantų implantavimo procesas Italijoje apima chirurginius metodus, kuriais siekiama visiškai pakeisti prarastą dantį tiek estetiškai, tiek funkciškai. Procedūros apima tradicinę implantologiją, greito apkrovimo implantologiją (implantas ir laikinas protezas įdedami per 12-48 valandas), „All-on-Four“, „All-on-Six“, „Toronto Bridge“ ir kompiuteriu valdomą implantologiją. KT ir rentgeno nuotraukos yra standartinės diagnostikos priemonės. „Momentinio pakrovimo“ ir „kompiuteriu valdomos“ implantologijos prieinamumas rodo, kad Italijos klinikos diegia pažangias technologijas. Tradicinė implantų ir protezų reabilitacija paprastai trunka 3-6 mėnesius, o momentinio apkrovimo metodai gali sutrumpinti šį laikotarpį iki 12-48 valandų.
- Turkija: Įprastas dantų implantavimo procesas Turkijoje, panašiai kaip Italijoje, apima chirurginį metalinio implanto (dažniausiai titano) įdėjimą į žandikaulį, po kurio pritvirtinamas vainikėlis arba tiltas. Galimi pažangūs metodai, tokie kaip implantai tą pačią dieną, lazeriai, chirurginiu būdu valdomi implantai ir „All-on-Four“ sistema. Rentgeno nuotrauka, konsultacija, pakartotiniai vizitai ir vietinė nejautra dažnai įtraukiami į paketus. Visa procedūra paprastai gali būti atlikta per 3-6 mėnesius, o momentiniai implantai gali užtrukti dar trumpiau.
Medžiagos ir prekės ženklai:
- Italija: Implantai dažniausiai gaminami iš titano, taip pat minimi cirkonio implantai. Karūnėlės paprastai tvirtinamos titano varžtais. Pirmaujantys implantų prekių ženklai Italijoje yra „Leone“, „Sweden & Martina“, „Medigma“, „Tekka“, „Anthogyr“ ir kiti italų gamintojai.
- Turkija: Implantai taip pat dažniausiai gaminami iš titano, akcentuojamas aukštos kokybės medžiagų naudojimas. Turkija naudoja įvairius tarptautinius ir vietinius implantų prekės ženklus, tokius kaip „Straumann“, „BEGO“, „Nobel Biocare“, „BioHorizons“, „Alpha Bio“, „Nucleoss“, „Implance“, DTI, „Opus“, „Mode“ ir „Omnitech“. Platus prekių ženklų asortimentas Turkijoje, apimantis tiek aukščiausios klasės tarptautinius, tiek pigesnius vietinius variantus, yra svarbi kainų kintamumo ir pacientų pasirinkimo priežastis.
Kaip dedami dantų implantai: žingsnis po žingsnio
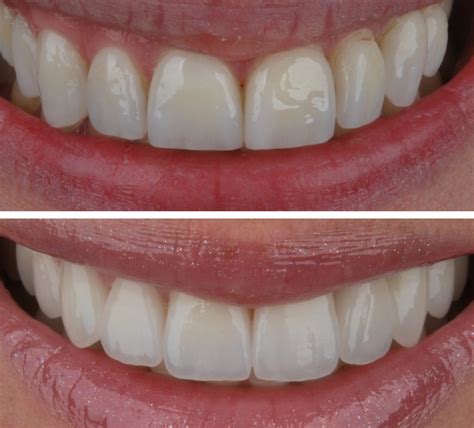
„Hollywood Smile“ procedūrų kainų ir ypatumų palyginimas
„Hollywood Smile“ procedūros, kurių pagrindinis komponentas dažnai yra dantų laminatės, taip pat demonstruoja reikšmingus kainų skirtumus tarp Italijos ir Turkijos.
Kainų skirtumai:
- Italija: Porceliano laminatės Italijoje kainuoja nuo 800 iki 1200 eurų už vieną faneruotę, o visos „Hollywood Smile“ procedūros kaina gali siekti nuo 6000 iki 8000 eurų.
- Turkija: Kaina Turkijoje paprastai svyruoja nuo 2000 iki 5000 JAV dolerių už visą „Hollywood Smile“ procedūrą. Pavyzdžiui, E-Max laminato faneros gali kainuoti nuo 255 dolerių, o „Lumineers“ - nuo 290 dolerių. Kainų skirtumas tarp šalių gali viršyti 50 %, o tai daro Turkiją patrauklesniu pasirinkimu pacientams, ieškantiems pigesnių estetinių sprendimų.
Didelis „Hollywood Smile“ kainos skirtumas rodo, kad estetinė odontologija, kuri dažniausiai yra pasirenkamoji procedūra, yra labai jautri kainai. Tai skatina pacientus ieškoti pigesnių variantų užsienyje, todėl „Hollywood Smile“ tampa pavyzdiniu pasiūlymu tokiose odontologijos turizmo vietose kaip Turkija.
Procedūros, trukmė ir medžiagos:
- Italija: Informacija apie konkrečius „Hollywood Smile“ procedūros žingsnius ar tipines įtraukimo dalis Italijoje yra ribota. Dažniausiai minimos porceliano faneros. Nors konkrečios detalės nėra išsamiai aprašytos, aukštos kokybės fanerų prekių ženklai, tokie kaip „E-max“, „Lumineers“ ir „Empress“, yra pripažinti visame pasaulyje ir prieinami Italijoje, pavyzdžiui, „DenMat Italia Shop“ parduoda „Lumineers“. Procedūra gali apimti dantų paruošimą, skaitmeninį skenavimą, laikinų laminatų uždėjimą, individualių laminatų ar vainikėlių pagaminimą laboratorijoje, bandomąjį pritaikymą ir galutinį danties uždėjimą. Jei reikalingi papildomi gydymai, pvz., implantai ar dantenų gydymas, trukmė gali pailgėti.
- Turkija: „Hollywood Smile“ atnaujinimas paprastai apima įvairias estetines odontologines procedūras, tokias kaip dantų laminatės (ploni apvalkalai), dantų balinimas, karūnos (pažeistiems dantims uždengti) ir kartais dantų implantai (dėl trūkstamų dantų). Procesas apima pirminę konsultaciją ir planavimą, dantų paruošimą, skaitmeninį skenavimą, laikinų laminatų uždėjimą, individualių laminatų ar vainikėlių pagaminimą laboratorijoje, bandomąjį pritaikymą ir galutinį danties uždėjimą. Visa procedūra gali užtrukti 5-7 dienas, jei nereikia papildomų procedūrų. Dažniausiai naudojamos medžiagos apima porcelianą, cirkonį, kompozitinę dervą, E-max ir Lumineers. Tinkamai prižiūrint, porceliano laminatės gali tarnauti 10-15 metų, o kompozitinės medžiagos - 4-8 metus.

Reguliavimo standartai ir higienos praktikos
Vienas iš svarbiausių veiksnių, renkantis šalį dantų gydymui, yra reguliavimo standartai ir higienos praktikos. Italija ir Turkija šiuo atžvilgiu turi skirtingas stiprybes.
Italija:
Italija turi labai griežtus reglamentus dėl higienos ir sanitarijos normų odontologijos centruose, apibūdinamus kaip „tikra garantija pacientui“. Šie reglamentai nėra paliekami atskirų klinikų nuožiūrai ir yra nurodomi kaip tokie pat griežti, kaip ir tie, „kurių nėra kitose Europos šalyse“. Italijos akcentuojamas „Italijos viršenybė“ ir „labai griežti reglamentai“ rodo, kad Italija aktyviai propaguoja savo aukštus reguliavimo standartus kaip konkurencinį pranašumą. Tai pozicionuoja Italiją kaip vietą, kurioje pacientai gali tikėtis aukšto saugumo lygio ir nustatytų medicininių protokolų laikymosi. Procedūros apima sterilizuotų vienkartinių instrumentų atidarymą paciento akivaizdoje, specialių padėklų naudojimą, tinkamą medžiagų šalinimą ir personalo aprangą (chalatai, pirštinės, kaukės). Instrumentams taikoma griežta sterilizavimo procedūra. Italijos reglamentai yra pagrįsti tarptautinių organizacijų (PSO, JAV CDC) įrodymais pagrįstais protokolais ir Europos / Italijos reguliavimo standartais.
Turkija:
Nors Turkijoje teigiama, kad aukščiausio lygio klinikos „konkuruoja su Vakarų standartais ar net juos viršija“, egzistuoja ir kritinių nuomonių. Vienas šaltinis teigia, kad „vienas didžiausių rūpesčių dėl dantų gydymo Turkijoje yra reguliavimo nebuvimas“ ir „nėra jokios valdymo institucijos, kuri prižiūrėtų standartus“, todėl „nėra garantijos“, kad lūkesčiai bus patenkinti. Tai taip pat rodo didesnę komplikacijų po gydymo tikimybę dėl „reguliavimo stokos ir kai kurių odontologijos klinikų teikiamos priežiūros kokybės“. Tačiau geros reputacijos klinikose naudojama ligoninės lygio sterilizacija (autoklavai), vienkartinio naudojimo priemonės ir kruopšti paviršių dezinfekcija. Klinikos, aptarnaujančios tarptautinius pacientus, privalo gauti specialų „tarptautinio sveikatos turizmo leidimo sertifikatą“, užtikrinantį aukštesnius standartus.
Šis ryškus prieštaravimas vertinant odontologijos reglamentavimą Turkijoje rodo, kad rinkoje kokybė ir atitiktis gali labai skirtis. Todėl pacientams, besirenkantiems gydymą Turkijoje, itin svarbu atidžiai rinktis kliniką ir atlikti išsamų tyrimą.
Verslo modeliai ir pacientų patirtis
Turkijoje paplitęs „viskas įskaičiuota“ paketo modelis yra strateginis verslo modelis, skirtas pritraukti tarptautinius pacientus supaprastinant logistiką ir suteikiant suvokiamą pridėtinę vertę. Tai skiriasi nuo labiau „à la carte“ požiūrio, dažnai sutinkamo Italijoje. Šis verslo strategijos skirtumas yra svarbus veiksnys, lemiantis Turkijos konkurencingas kainas ir rinkos patrauklumą, ne tik mažesnes veiklos sąnaudas. Tai rodo, kad Turkijos sėkmė odontologijos turizme kyla ne tik iš mažesnių darbo ar medžiagų sąnaudų, bet ir iš puikaus tarptautinių pacientų poreikio patogumui ir sklandžiai patirčiai supratimo.
Italijos klinikos, nors ir rečiau siūlo išsamius paketus, akcentuoja aukštą paslaugų kokybę, griežtus reguliavimo standartus ir pažangias technologijas. Tai gali pateisinti didesnes išlaidas ir pritraukti pacientus, kuriems prioritetas yra saugumas ir patikimumas.
Išvados
Renkantis tarp Italijos ir Turkijos dantų implantų ar „Hollywood Smile“ procedūroms, pacientai turi atsižvelgti į daugybę veiksnių. Turkija siūlo žemesnes kainas ir patogius „viskas įskaičiuota“ paketus, pritraukdama didelį tarptautinių pacientų srautą. Tačiau svarbu atidžiai rinktis kliniką ir atkreipti dėmesį į reguliavimo standartus. Italija, nors ir brangesnė, išsiskiria aukštais reguliavimo standartais, griežtomis higienos praktikomis ir moderniomis technologijomis, suteikdama pacientams didesnę saugumo ir kokybės garantiją. Galutinis pasirinkimas priklauso nuo individualių prioritetų, biudžeto ir tolerancijos rizikai.
Šv. Anos klinikinis institutas Brešoje yra daugialypė specializuota ligoninė, akredituota Italijos nacionalinės sveikatos tarnybos (SSN). Nuo 1970 m. veikiantis institutas priklauso San Donato ligoninių grupei. Jis pasižymi aukšta diagnostinių ir terapinių paslaugų kokybe, ankstyvosios diagnozės svarbos suvokimu, nuolatiniu personalo kvalifikacijos kėlimu ir tvirtu valdymo veiksmingumu. Medicinos pagalba teikiama daugiadisciplininio požiūrio principu, siekiant patenkinti pacientų poreikius.
Zucchi klinikiniai institutai, įsikūrę Monzoje, Carate Brianza ir Brugherio, teikia aukštos kokybės medicinos paslaugas. Ypač išsiskiria Reprodukcinės medicinos centras ir Biogenezė, Tarpdisciplininis bariatrijos ir nutukimo centras (CIBO), Išvaržų centras, Vulnologijos, mammologijos ir Odonto stomatologijos centrai. Ortpedijos operacinis skyrius yra labai specializuotas klubo ir kelio sąnario protezavimui bei sporto traumatologijai. Institutas taip pat specializuojasi kataraktos chirurgijoje ir gaubtinės bei tiesiosios žarnos sutrikimuose.
Šie pavyzdžiai iliustruoja aukštą medicininių paslaugų lygį Italijoje, kuris atspindi šalies įsipareigojimą kokybei ir pacientų saugumui.